Dr. med. Ilona WeöresInternistin und Kardiologin
Einfühlsame und kompetente
kardiologische Betreuung

Praxis
Willkommen in meiner Privatpraxis unweit des Nymphenburger Parks. Als erfahrene Fachärztin kümmere ich mich mit viel Zeit und Sorgfalt um Ihr Herz. Hierbei verbinde ich leitliniengerechte Kardiologie mit ganzheitlicher Medizin. Durch eine Kooperation mit der Smartpraxis Dr. Sirfy verfüge ich über modernste Technologie und helle Praxisräume. Die Atmosphäre ist herzlich und persönlich.
Ich freue mich auf Sie.
Ihre Dr. med. Ilona Weöres
- • Kardio-Checkup für Jung und Alt
- • Fokus auf Präventionsmedizin
- • Individuelle und sinnvolle Diagnostik/Therapie
- • Beratung zu Ernährung, Bewegung, Lifestyle
- • Schnelle Terminorganisation bei den Premiumversorgern Münchens
Über mich
Dr. med. Ilona Weöres
Fachärztin für Innere Medizin, Kardiologie, Notfallmedizin
(Bayerische Landesärztekammer)
Werdegang
- • Studium der Humanmedizin, LMU München
- • Isar Klinik München, Facharztausbildung
- • Klinikum Schwabing, Abteilung für Innere Medizin, Kardiologie und Nephrologie
- • TUM Klinikum, Sportkardiologie
- • Deutsches Herzzentrum München, Ultraschallabteilung der herzchirurgischen Abteilung
- • Praxis Herzgefäßzentrum Nymphenburg
- • Internistische Privatpraxis Dr. Birol Yüce
- • Regelmäßige Dienste in der Bereitschaftspraxis im Klinikum Schwabing
Mitgliedschaften
- • American Society of Echocardiography (ASE)
- • Deutsche Gesellschaft für Kardiologie (DGK)
- • Bund Deutscher Internisten (BDI)
- • Bundesverband Niedergelassener Kardiologen (BNK)
Leistungen
Echokardiographie
Herzultraschall zur Beurteilung von Struktur, Funktion und Herzklappen
Stressechokardiographie
Belastungsultraschall zur Abklärung von Durchblutung, Vitalität und Herzklappenfehlern
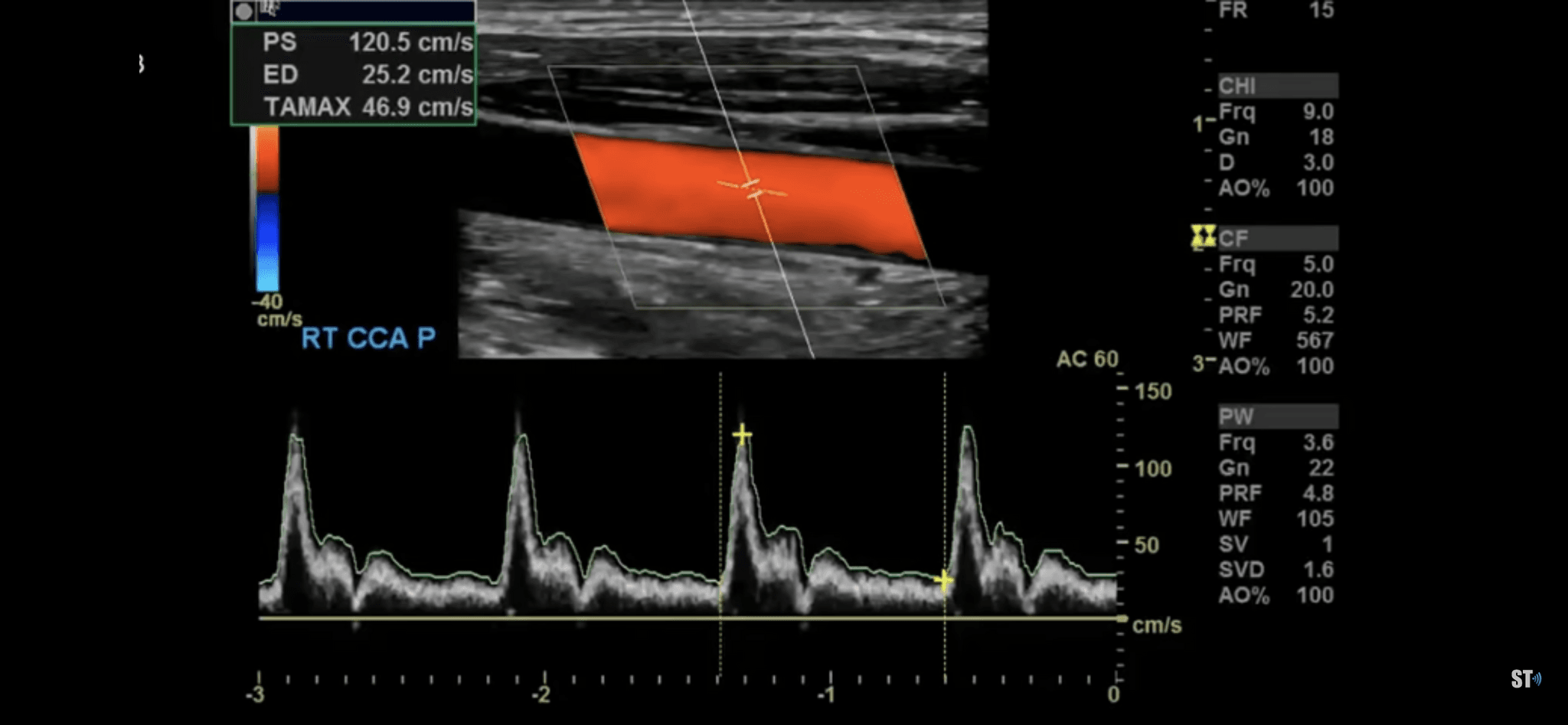
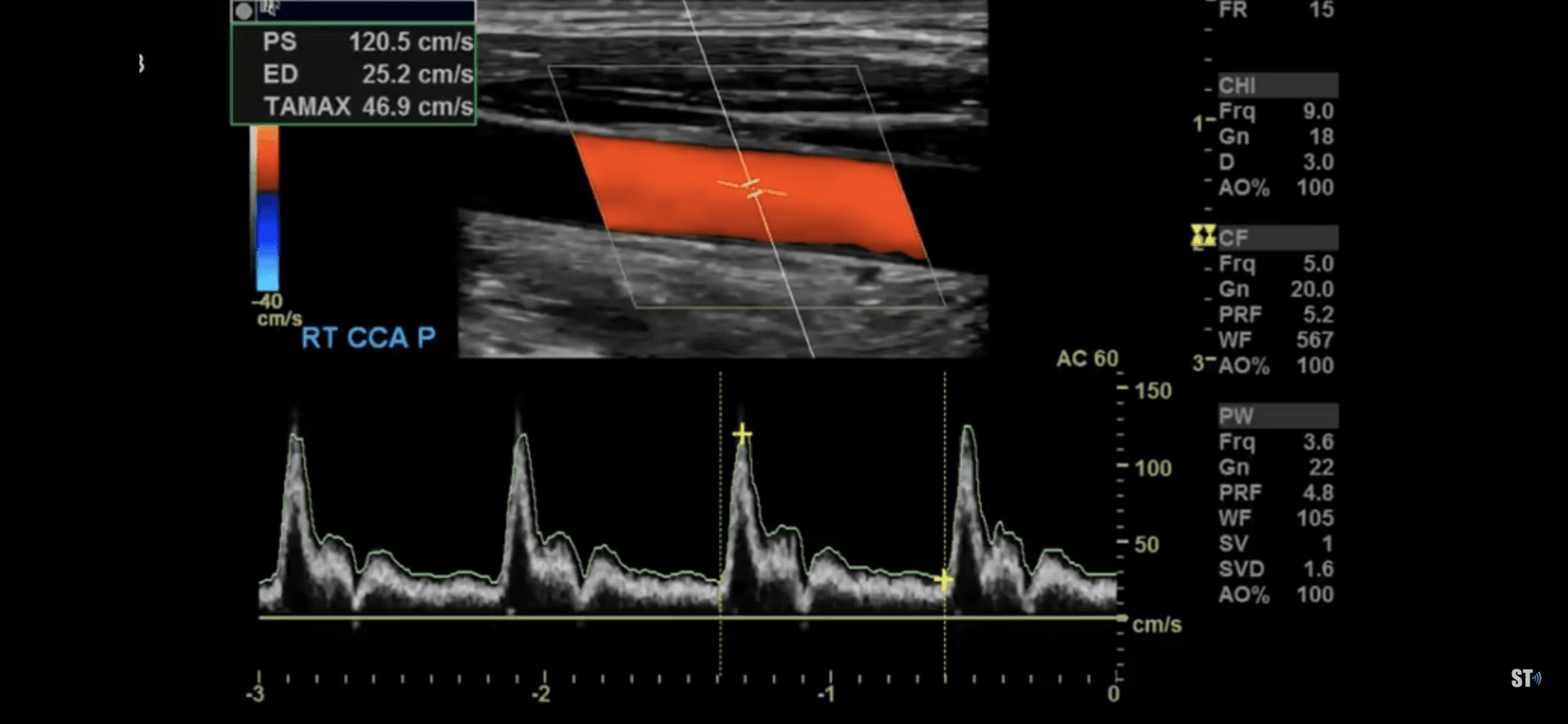
Carotis-Doppler
Doppler- und Duplexsonographie der hirnversorgenden Halsschlagadern
Ruhe- und Belastungs-EKG
Gezielte Beurteilung des Herzrhythmus
Blutdruckeinstellung
Individuelle Blutdruckeinstellung inklusive Schulung
Prävention & Check-up
Ausführlicher Check-up/Gesundheitsvorsorge inklusive Bildgebung
Herzklappen-Sprechstunde
Herzchirurgischer Ultraschall vor und nach Herz-OPs, Beratung, Nachsorge
Lifestyle-Optimierung
Maßgeschneiderte Beratung zu Ernährung, Gewichtsreduktion, Sport
Menopause und Herz
Senkung des erhöhten kardiovaskulären Risikos in den Wechseljahren
.jpeg&w=2048&q=75)
Echokardiographie
Hochauflösende Ultraschalldiagnostik des Herzens zur präzisen Beurteilung von Struktur, Funktion und Herzklappenapparat.
Gefäßultraschall
Doppler- und Duplexsonographie der Halsschlagadern zur Früherkennung von Gefäßveränderungen und Schlaganfallrisiko.
Hausbesuche
Einige Patient*innen sind zu krank, schwach oder nicht mobil genug, um die Praxis aufzusuchen. Hierfür besuche ich Sie gern und führe einen mobilen Herzultraschall und ein EKG durch.
Notfall
Bei akuten Beschwerden wie:
- • Plötzlich auftretende Brustschmerzen
- • Luftnot (auch bei Belastung)
- • Kollaps / Bewusstlosigkeit
- • Neurologische Ausfälle
- • Atypische, akute Schmerzen im Rücken, Oberkiefer, Oberbauch (oft bei Frauen)
- • Schwindel
- • Starke Blutdruckentgleisung
Rufen Sie bitte sofort den Notruf
112
Ärztlicher Bereitschaftsdienst
116 117
Außerhalb der Sprechzeiten
Team

Lilia Kastenmüller
Medizinstudentische Aushilfe
Kontakt
Adresse
c/o Smartpraxis Dr. Sirfy
Im Ärztehaus Nymphenburg (2. Stock)
Rosa-Bavarese-Straße 1
80639 München
Tiefgarage mit Lift (Zufahrt über Wotanstraße). S-Bahn: Haltestelle Laim, ca. 3 Gehminuten.
Telefon
0175 1077596
info@kardiologie-nymphenburg.com
Termine
Nach Vereinbarung über Doctolib oder direkt per Telefon oder E-Mail.
Abrechnung
In meiner Praxis behandele ich Privatpatienten und Selbstzahler/innen. Die Abrechnung erfolgt nach der Gebührenordnung für Ärzte (GoÄ).




